건국대·동국대·미국 코넬대 공동 연구진, 화합물 발굴
노화의 핵심 'DDR1' 단백질에 주목…새로운 치료 전략 제시
[서울=뉴시스] (왼쪽부터) 건국대 조쌍구 교수, 아브달 아메드 교수, 동국대 이경 교수, 미국 코넬대 호쌈 나다 박사. (사진=건국대 제공) 2026.03.25. photo@newsis.com *재판매 및 DB 금지 |
<이미지를 클릭하시면 크게 보실 수 있습니다> |
[서울=뉴시스]박시은 인턴 기자 = 국내 연구진이 줄기세포의 노화를 늦추고 손상된 조직의 재생 능력을 높일 수 있는 새로운 화합물을 개발했다.
건국대는 첨단바이오공학부 조쌍구 교수 연구팀이 동국대 약학대학 이경 교수, 미국 코넬대 의대 연구진과 함께 줄기세포의 기능을 강화하는 신규 표적 화합물 'AC-4067'을 발굴했다고 25일 밝혔다.
연구의 핵심은 세포 내 신호 전달과 조직 재생, 노화 조절에 관여하는 단백질 'DDR1'이다. 이 단백질은 최근 재생의학 분야에서 노화를 조절할 수 있는 중요한 목표물로 꼽혀왔지만, 이를 선택적으로 조절할 수 있는 물질이 부족해 연구에 어려움이 있었다.
연구진은 컴퓨터를 활용한 분자 설계(CADD) 기법을 통해 DDR1 단백질을 정밀하게 억제하는 신물질 'AC-4067'을 도출했다. 실험 결과, 이 물질은 탯줄에서 유래한 줄기세포의 증식과 이동 능력을 높였으며, 상처 부위를 치유하는 재생 기능도 높이는 것으로 확인됐다.
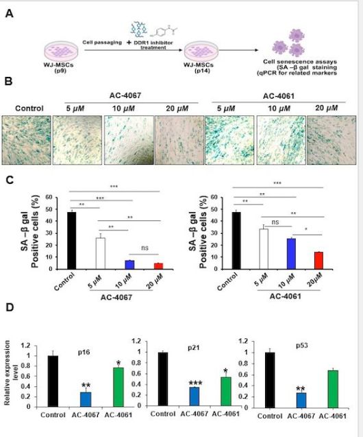
특히 이 화합물은 세포 노화 지표(SA-β-gal)의 활성과 DNA 손상 수치를 낮춰, 줄기세포가 복제 과정을 거치며 늙어가는 것을 방지하고 기능적으로 '젊은 상태'를 유지하게 돕는 것으로 나타났다. 특정 단백질 조절을 통해 줄기세포의 재생 능력을 유지·강화할 수 있음을 입증한 셈이다.
[서울=뉴시스] 세포 노화 지표 감소 결과. (사진=건국대 제공) 2026.03.25. photo@newsis.com *재판매 및 DB 금지 |
<이미지를 클릭하시면 크게 보실 수 있습니다> |
연구진은 "이번 연구는 DDR1 표적 저해제를 통해 줄기세포 노화를 억제하고 조직 재생 기능을 향상할 수 있음을 입증한 것"이라며 "AI(인공지능) 기반 신약 설계와 줄기세포 재생의학을 결합한 역노화 치료 전략 개발에 중요한 기초 자료가 될 것으로 기대한다"고 밝혔다.
이번 연구에는 조쌍구 교수와 이경 교수가 공동 교신저자로 참여했으며, 건국대 아메드 모르시(Ahmed Morsy Abdal Dayem) 교수와 미국 코넬대 호쌈 나다(Hossam Nada) 박사가 공동 제1저자로 참여했다. 연구 논문은 약리학 분야의 국제 학술지 '바이오메디신&파마코테라피(Biomedicine & Pharmacotherapy)'에 게재됐다.
☞공감언론 뉴시스 xieunpark@newsis.com
▶ 네이버에서 뉴시스 구독하기
▶ K-Artprice, 유명 미술작품 가격 공개
이 기사의 카테고리는 언론사의 분류를 따릅니다.
기사가 속한 카테고리는 언론사가 분류합니다.
언론사는 한 기사를 두 개 이상의 카테고리로 분류할 수 있습니다.
언론사는 한 기사를 두 개 이상의 카테고리로 분류할 수 있습니다.
