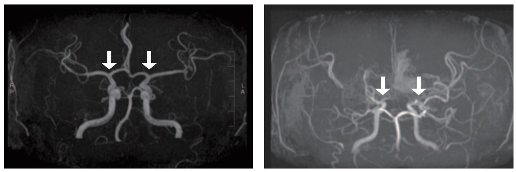
일반인의 뇌혈관(왼쪽)과 모야모야병 환자 뇌혈관(오른쪽). 자료 서울대병원 |
<이미지를 클릭하시면 크게 보실 수 있습니다> |
희귀난치성 뇌혈관질환인 '소아 모야모야병' 국내 환자의 사망률이 15년 새 꾸준히 줄어든 것으로 나타났다. 치명적인 출혈성 뇌졸중(뇌출혈) 합병증도 약 40% 감소했다.
서울대병원 김승기 소아신경외과 교수·김상완 의생명연구원 연구교수, 서울의대 이중엽 교수, 삼성서울병원 이종석 교수 공동 연구팀은 5일 이런 연구 결과를 공개했다.
모야모야병은 뇌로 혈액을 공급하는 혈관이 이유 없이 점차 좁아지는 병이다. 주로 10세 전후 소아와 40세 전후 성인에서 발병하며, 뇌혈관이 막히거나 파열되는 문제가 발생하곤 한다. 특히 어린 환자는 허혈성 뇌졸중(뇌경색)이 빈번하게 나타난다. 하지만 국내 소아 환자 특성을 체계적으로 분석한 자료는 거의 없었다.
이에 연구팀은 2006~2021년 국민건강보험공단에 등록된 전국 18세 미만 모야모야병 환자 4323명의 세부 데이터를 분석했다. 그 결과, 환자 사망률과 합병증 발생률이 꾸준히 줄어드는 경향이 나타났다.
사망률은 2007년 1000인년(환자 1000명을 1년, 또는 100명을 10년간 관찰하는 걸 의미)당 3.6명이었지만, 그 후 1명 안팎으로 줄었다. 합병증 중 하나인 출혈성 뇌졸중(뇌출혈) 발생 건수도 2006년 1000인년당 3.3건에서 2021년 2건으로 40%가량 감소했다. 국내 치료의 질적 향상을 보여주는 셈이다.
이번 분석을 진행한 연구진. (사진 왼쪽부터) 서울대병원 김승기 교수·김상완 연구교수, 서울의대 이중엽 교수, 삼성서울병원 이종석 교수. 사진 서울대병원 |
<이미지를 클릭하시면 크게 보실 수 있습니다> |
인구 10만명당 소아 모야모야병 유병률은 2006년 9.3명에서 2021년 24.8명으로 증가했다. 연구팀은 "전체 소아 인구가 감소한 반면, 모야모야병 환자 생존율이 향상됐기 때문"이라고 설명했다. 수술을 받는 환자 비율도 점차 늘면서 2018년 이후엔 88% 수준으로 집계됐다. 이들에겐 대부분 간접문합술(뇌에 피를 공급하도록 두피 혈관을 분리해 뇌표면에 접속함)이 시행됐다.
이번 연구는 이건희 소아암·희귀질환 극복사업 지원을 받아 이뤄졌다. 해당 논문은 국제학술지 '국제 뇌졸중 저널' 최근호에 실렸다. 분석 결과는 국내 모야모야병 환자 치료 가이드라인의 기초 자료가 될 전망이다. 김승기 교수는 "이번에 축적된 역학 자료를 기반으로 향후 다기관 임상 네트워크 구축 등을 통해 국내 환자에 최적화된 소아 모야모야병 치료 방향이 수립되길 기대한다"고 말했다.
정종훈 기자 sakehoon@joongang.co.kr
▶ 중앙일보 / '페이스북' 친구추가
▶ 넌 뉴스를 찾아봐? 난 뉴스가 찾아와!
ⓒ중앙일보(https://www.joongang.co.kr), 무단 전재 및 재배포 금지
이 기사의 카테고리는 언론사의 분류를 따릅니다.
기사가 속한 카테고리는 언론사가 분류합니다.
언론사는 한 기사를 두 개 이상의 카테고리로 분류할 수 있습니다.
언론사는 한 기사를 두 개 이상의 카테고리로 분류할 수 있습니다.
