사진출처=미러 |
<이미지를 클릭하시면 크게 보실 수 있습니다> |
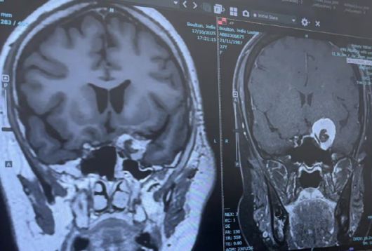
[스포츠조선 장종호 기자] 수년간 극심한 두통에 시달리다 생리까지 멈춘 30대 여성의 머리에서 귤 크기만 한 뇌종양이 발견됐다.
그동안 병원에 간 여성은 매번 '불안 증세'라는 진단만 받았다고 분통을 터뜨렸다.
미러 등 외신들에 따르면 영국 웨일스 케어필리 출신의 조디 볼턴(38)은 지난해 MRI 검사를 받은 결과, 귤 크기만 한 뇌종양이 발견됐다고 밝혔다. 의료진은 이 종양이 20년 가까이 뇌 속에 자리했을 가능성이 있다고 설명했다.
그녀는 2020년부터 극심한 두통에 시달리고 급기야 생리까지 멈춰 병원을 찾곤 했는데 그때마다 "심한 불안 증세 때문"이라는 답이 돌아왔다고 주장했다.
이어 "오랫동안 답을 찾지 못해 스스로를 의심했는데, 뇌 속에 그렇게 큰 종양이 있었다는 사실은 충격이었다. 더 일찍 발견됐다면 내 삶은 달라졌을 것"이라고 호소했다.
지난해 3월 결국 정밀검사를 받았고, 종양이 호르몬에 영향을 주고 있다는 사실이 확인됐다.
같은 해 6월, 12시간에 걸친 수술로 종양의 85%가 제거됐지만, 시신경을 감싸고 있는 나머지 15%는 남겨둘 수밖에 없었다. 이후 '저등급 뇌수막종'으로 판명됐으며 수술 후 상처 부위에 감염이 발생해 두개골 일부를 제거해야 했고, 현재는 티타늄 판 삽입 수술을 기다리고 있다. 그동안 조디는 외출 시 안전모를 착용해야 하며, 여섯 살 아이를 돌보는 일상도 큰 제약을 받고 있다.
조디는 "조기에 발견하고 제대로 치료를 받았다면 지금의 생활과는 다르게 지내고 있을 것"이라며 분노와 아쉬움을 드러냈다.
장종호 기자 bellho@sportschosun.com
이 기사의 카테고리는 언론사의 분류를 따릅니다.
기사가 속한 카테고리는 언론사가 분류합니다.
언론사는 한 기사를 두 개 이상의 카테고리로 분류할 수 있습니다.
언론사는 한 기사를 두 개 이상의 카테고리로 분류할 수 있습니다.
