생활방식·수면 자세 등이 원인…춘천성심병원 "빠른 진단 필요"
발 |
(춘천=연합뉴스) 강태현 기자 = "아침에 일어났더니 오른쪽 발목이 제대로 들리지 않아 발끝이 바닥에 끌렸어요."
강원 춘천에 사는 A(53)씨는 하루아침에 찾아온 이상증세에 뇌졸중을 의심해 병원을 찾았다.
그러나 뇌와 척추 검사에서는 이상이 발견되지 않았다. 원인을 찾지 못한 채 증상은 지속됐고 보행이 불편해 일상생활에도 지장이 생기기 시작했다.
이후 A씨 병세를 살핀 한림대학교춘천성심병원 양진서 신경외과 교수는 발목을 들어 올리는 근력 저하와 함께 무릎 바깥쪽 감각 이상에 주목했다.
무릎 부위 자기공명영상장치(MRI) 검사를 진행한 결과 무릎 외측을 지나는 비골신경이 섬유성 구조물에 의해 압박돼 있었다. 양 교수는 A씨 증상을 '비골신경병증에 의한 족하수'로 진단했다.
족하수는 발목과 발가락을 들어 올리는 힘이 약해지는 증상으로 걷거나 계단을 오를 때 발끝이 바닥에 끌리거나 발을 제대로 들지 못하는 것이 특징이다.
대부분 족하수로 시작되는 비골신경병증은 무릎 바깥쪽을 지나 발목과 발가락을 조절하는 비골신경이 근육·섬유성 띠 등 구조물로 인한 외부 압박을 받아 기능 이상이 발생하는 말초신경질환이다.
이는 교통사고나 외상처럼 명확한 원인이 없어도 발생할 수 있다.
수면 중 한쪽 다리를 오래 눌린 자세가 유지되거나 쭈그려 앉아 오랜 시간 작업하는 생활 습관이 반복되면 신경이 지속해 압박돼 증상이 나타난다.
실제 가장 흔한 발병 원인 중 하나는 음주 후 딱딱한 바닥에서 옆으로 누워 잠드는 경우다. 이 자세에서는 무릎 바깥쪽의 비골신경이 장시간 압박되는데, 음주 상태에서는 통증 자극을 제대로 인지하지 못해 신경 손상이 발생할 가능성이 커진다.
또 오랜 시간 바닥에 앉아 있다가 그대로 잠드는 경우, 딱딱한 돌침대에서 옆으로만 누워 생활하는 거동이 불편한 고령층, 바닥에서 양반다리나 가부좌 자세를 오래 유지하는 생활 습관 역시 위험 요인이 될 수 있다.
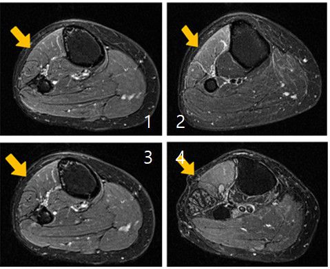
근육 손상이 진행되는 과정을 단계별로 보여주는 MRI 사진 |
A씨 사례처럼 초기에는 뇌 질환 또는 척추질환으로 오인되거나 정확한 진단이 늦어지는 경우가 적지 않다.
양 교수는 "뇌와 척추 MRI 검사에서 이상이 발견되지 않았는데도 발목이 들리지 않는다면 말초신경병증 가능성을 반드시 고려해야 한다"며 "비골신경병증은 무릎 부위 MRI만으로도 비교적 명확한 진단이 가능한 질환이지만 질환에 대한 인식이 부족하면 불필요한 검사와 치료로 시간을 허비하게 된다"고 말했다.
특히 신경은 손상 후 회복할 수 있는 시간이 제한적이기 때문에 진단이 늦어질 경우 수술 효과가 떨어지거나 회복까지 오랜 시간이 걸릴 수 있다.
치료는 증상 발생 초기에는 발목 보조기 착용, 소염진통제 등 약물치료, 물리치료와 같은 보존적 치료를 한다.
이 같은 치료로 증상 호전을 기대할 수 있지만 MRI 검사에서 비골신경 주행 부위의 압박이 명확하게 확인되거나 일정 기간 보존적 치료에도 불구하고 족하수 증상이 지속·악화하는 경우에는 수술적 치료를 고려한다.
대표적인 방법은 섬유성 터널 감압술이다. 이는 비골신경이 무릎 바깥쪽과 종아리 위쪽을 지나며 형성된 섬유성 터널 내부에서 압박받는 경우 진행한다.
수술은 피부 절개를 최소화한 상태에서 신경의 주행 경로를 따라 접근해 비골신경을 둘러싸고 있는 근막·섬유조직·인대 등 압박 원인이 되는 구조물만 선택적으로 절개해 신경에 가해지는 압력을 해소하는 방법으로 이뤄진다.
이 과정에서 신경 자체를 건드리거나 절제하지 않기 때문에 신경 손상 위험이 상대적으로 낮아 안전성이 높고, 수술 중에는 신경 주행 방향과 주변 혈관, 연부조직을 정밀하게 확인해 유착이나 추가 압박 요인까지 함께 풀어준다.
평균 수술 시간은 30분 내외로 짧은 편이고 대부분 국소 또는 부분마취로 시행한다.
수술 후에는 신경 압박이 해소되면서 발목 들림 기능이 점진적으로 회복된다. 특히 증상 발생 후 조기에 감압술을 진행할수록 근력 회복과 감각 개선 효과가 더욱 뚜렷하게 나타난다.
양 교수는 25일 "족하수는 단순한 근력 저하가 아니라 신경 이상을 알리는 중요한 신호일 수 있다"며 "증상이 수일 이상 지속되거나 점점 악화한다면 적절한 치료 시기를 놓치지 않도록 말초신경질환을 전문적으로 진료하는 신경외과 전문의를 찾는 것이 중요하다"고 말했다.
그러면서 "조기에 정확한 진단과 치료가 이뤄지면 충분히 일상으로의 회복이 가능하다"며 "환자 스스로 증상을 알고 빠르게 병원을 찾는 것만으로도 치료 결과는 크게 달라질 수 있다"고 조언했다.
한림대학교춘천성심병원 양진서 신경외과 교수 |
taetae@yna.co.kr
▶제보는 카카오톡 okjebo
▶연합뉴스 앱 지금 바로 다운받기~
▶네이버 연합뉴스 채널 구독하기
<저작권자(c) 연합뉴스, 무단 전재-재배포, AI 학습 및 활용 금지>
이 기사의 카테고리는 언론사의 분류를 따릅니다.
기사가 속한 카테고리는 언론사가 분류합니다.
언론사는 한 기사를 두 개 이상의 카테고리로 분류할 수 있습니다.
언론사는 한 기사를 두 개 이상의 카테고리로 분류할 수 있습니다.
