그런데 많은 사람이 예전만큼 미세먼지의 위해성에 크게 신경 쓰지 않는 눈치다. 아무래도 코로나19에 오랜 기간 시달리면서 미세먼지에 대한 주목도가 예전보다 상대적으로 덜한 것으로 보인다.
하지만, 미세먼지가 인체에 미치는 위해성은 이미 많은 연구를 통해 확인된 부분이다. 폐로 들어와 호흡기질환을 유발하는 것은 물론 뇌졸중, 심장질환, 폐암, 정신질환 등과도 연관성이 크다는 보고가 있다. 대한뇌졸중학회에서는 미세먼지가 국내에서만 연간 수만 명의 조기사망을 부른다는 분석 결과를 내놓은 바 있다.
최근에는 미세먼지의 생체 내 독성을 실질적으로 보여주는 동물 부검 결과가 처음으로 발표돼 눈길을 끈다.
국제학술지 '라이프'(Life) 최신호에 발표된 논문을 보면, 전남대학교 수의과대학 서국현 교수팀은 미세먼지가 유발하는 생체 내 독성을 확인하기 위해 16마리의 건강한 돼지를 인위적으로 만든 미세먼지에 6시간 동안 노출한 뒤 혈액 검사와 함께 부검을 시행했다.
부검은 미세먼지 노출 전과 노출 후 6시간, 12시간, 24시간, 72시간 만에 각각 이뤄졌다.
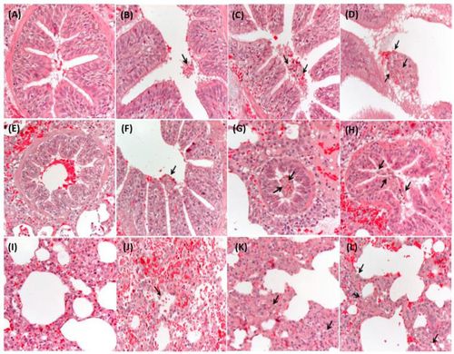
인공 미세먼지에 노출된 돼지의 시간 경과에 따른 하부 호흡기의 조직 병리학적 이미지. 다양한 정도의 출혈 흔적이 관찰됐으며, 하기도 부분에서 염증 형태로 나타나는 미세먼지 입자의 증가 경향이 뚜렷하다. (화살표) [논문 발췌] |
이 결과 혈액검사에서 여러 '염증성 사이토카인'(Cytokine)이 미세먼지 흡입 후 6∼12시간까지 최대 2배 가까이 높아진 상태로 평가됐다.
다만, 이렇게 높아진 염증성 사이토카인은 12시간을 넘기면서 다시 낮아지는 특징을 보였다.
사이토카인은 세포에서 분비돼 신체의 면역 체계를 제어하고 자극하는 신호 물질로, 이 중 일부 사이토카인은 과다 분비되면 급성 및 만성 염증을 유발하는 것으로 알려져 있다.
조직 병리학적 검사에서는 미세먼지에 노출된 돼지의 기관지와 폐포를 포함한 전체 호흡기에서 미세먼지 입자가 두루 관찰됐다. 이런 미세먼지는 노출 후 6시간이 지난 돼지에서 침투율이 가장 높은 것으로 평가됐다.
연구팀은 다양한 조직검사 결과, 미세먼지 노출 돼지에서 전신 염증과 폐렴·기관지염 등의 증상으로 나타나는 '급성 하기도감염증'이 관찰됐다고 설명했다.
사람의 경우, 폐에 염증이 생기면 일반적인 감기보다 열이 더 많이 나고, 가래와 심한 가슴 통증을 동반한다.
또한 가래가 많아지고 이를 배출하기 위해 기침이 잦아지며, 폐를 둘러싸고 있는 흉막으로 염증이 번지면 숨을 들이쉬고 내쉴 때 자극을 받아 심한 통증과 호흡곤란이 나타난다.
서국현 교수는 "이번 연구 결과는 돼지고기 산업의 경제적 손실을 최소화하는 차원에서 미세먼지 노출을 막는 게 매우 중요함을 보여줄 뿐만 아니라 궁극적으로는 미세먼지가 사람에게도 비슷한 독성을 가질 수 있음을 시사한다"면서 "미세먼지가 가지는 독성에 대해서는 꾸준히 경각심을 갖고 대처해야 한다"고 말했다.
bio@yna.co.kr
<저작권자(c) 연합뉴스, 무단 전재-재배포 금지>
이 기사의 카테고리는 언론사의 분류를 따릅니다.
기사가 속한 카테고리는 언론사가 분류합니다.
언론사는 한 기사를 두 개 이상의 카테고리로 분류할 수 있습니다.
언론사는 한 기사를 두 개 이상의 카테고리로 분류할 수 있습니다.
