3천여명 분석…"미세먼지 10㎍/㎥ 증가하면 무증상 뇌경색 위험 20%↑"
겨울철에 접어드는 요즘 대기 중 미세먼지 농도가 높은 날이 많아지고 있어 더욱 철저한 대비가 요구된다.
서울대병원(가정의학과 박진호 교수, 신경과 정한영 교수)·보라매병원(신경과 권형민 교수)·국립암센터(김현진 교수) 공동 연구팀은 건강검진에서 뇌 MRI를 촬영한 3천257명(평균나이 56.5세)의 성인을 대상으로 영상을 분석한 결과 미세먼지의 이런 위해성이 사실로 확인됐다고 24일 밝혔다.
미세먼지 |
이 연구 결과는 국제학술지 '사이언티픽 리포트'(Scientific Reports) 최신호에 발표됐다.
연구팀은 분석 대상자의 거주지역별 연평균 미세먼지 농도를 연간 노출량으로 추정하고 1년간의 노출량 차이가 '뇌 백질 변성'(WMH), '무증상(열공성) 뇌경색', '뇌 미세출혈' 등의 병변과 어떤 연관성이 있는지를 분석했다. 조사 기간 중 전체 지역의 미세먼지 평균 농도는 49.1㎍/㎥이었다.
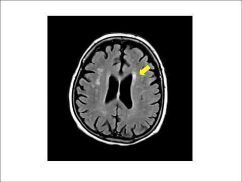
뇌 백질은 MRI 영상에서 뇌 중심부 옆으로 하얗게 보이는 부분을 말하는데, 이 백질에 퍼져 있는 작은 혈관들이 손상된 상태를 뇌 백질 변성이라고 한다. 또 무증상 뇌경색은 뇌 속 작은 혈관이 막혀 생기는 질환을 일컫는다.
이들 질환 모두 MRI에서 무증상의 병변으로 보이지만, 점차 뇌 노화가 비정상적으로 진행되면서 뇌졸중이나 치매 등 심각한 질환으로 이어질 수 있다.
연구팀은 미세먼지 농도가 10㎍/㎥ 증가할 때마다 뇌 백질 변성 면적이 약 8%씩 증가하는 것으로 추산했다. 또 같은 조건에서 무증상 뇌경색이 발생할 위험은 약 20% 더 높아지는 것으로 평가했다.
뇌 백질 |
다만, 이번 연구에서 이산화질소, 이산화황, 일산화탄소 등의 다른 대기오염물질들은 이런 병변들과 뚜렷한 연관성을 보이지 않았다.
연구팀은 미세먼지에 들어있는 나노입자가 사람의 폐포 장벽을 통과하거나 혈액 세포에 직접 영향을 미쳐 염증 반응이 활성화됨으로써 대뇌의 작은 혈관 구조에도 영향을 미칠 수 있다는 의견을 제시했다.
박진호 교수는 "미세먼지가 뇌 속 소혈관질환 위험을 높인다는 사실이 대규모 인구를 대상으로 한 뇌 MRI 영상 분석에서 입증된 만큼 평소 미세먼지 노출을 최소화하는 생활 습관이 더욱 중요해졌다"며 "정부 차원에서도 미세먼지를 줄이기 위한 여러 방안을 지속해서 검토해야 한다"고 말했다.
bio@yna.co.kr
▶제보는 카카오톡 okjebo
▶연합뉴스 앱 지금 바로 다운받기~
▶네이버 연합뉴스 채널 구독하기
<저작권자(c) 연합뉴스, 무단 전재-재배포 금지>
이 기사의 카테고리는 언론사의 분류를 따릅니다.
기사가 속한 카테고리는 언론사가 분류합니다.
언론사는 한 기사를 두 개 이상의 카테고리로 분류할 수 있습니다.
언론사는 한 기사를 두 개 이상의 카테고리로 분류할 수 있습니다.
