엑스큐브, 의료영상 분석 솔루션 'HEXA Pro' |
엑스큐브(Xcube)는 오는 12월 3일 서울 코엑스에서 열리는 'AI×소프트웨이브 2025'에 참가해, 자사의 대표 의료영상 분석 솔루션 'HEXA Pro'를 선보인다.
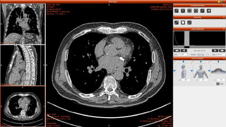
HEXA Pro는 인공지능(AI) 기반 흉부 CT 영상을 자동 분석해 폐, 심장, 간, 갑상선, 유방, 척추 등 주요 장기의 이상 질환을 동시에 탐지하는 차세대 의료영상 솔루션이다.
한 번의 CT 촬영만으로 6개 주요 장기를 분석하며, AI가 병변을 색상으로 표시해 이상 부위를 직관적으로 확인할 수 있다.
분석 결과는 전자문서 리포트(PDF)와 3D 이미지 형태로 제공되어 의료진이 환자의 상태를 한눈에 파악할 수 있으며, PACS 시스템과 연동되어 진료 현장에서 즉시 활용할 수 있다.
이를 통해 HEXA Pro는 병원의 판독 효율 향상, 진단 속도 단축, 추가 검사 유도 등 수익 구조 개선에 기여하고 있다.
이번 전시에서는 병원 도입 사례와 HEXA Pro의 AI 분석 결과 리포트, 3D 시각화 이미지 등이 함께 전시되어, 방문객들이 HEXA Pro의 정확성과 효율성을 직접 확인할 수 있다.
한편, 엑스큐브는 HEXA Pro를 통해 의료현장의 피드백을 반영하며, AI가 단순한 보조 도구를 넘어 의료진의 진단 파트너로 자리 잡는 변화를 이끌고 있다.
앞으로는 지방 분석, 뼈 질환, 전이 병변 탐지 등으로 HEXA의 분석 범위를 확장해, CT 기반의 통합 진단 플랫폼으로 발전시킬 계획이다.
엑스큐브는 AI 기술력과 의료 데이터 분석 노하우를 기반으로, 정확하고 효율적인 진단 환경 구축을 선도하는 기업으로 성장하고 있다.
정동수 기자 dschung@etnews.com
[Copyright © 전자신문. 무단전재-재배포금지]
이 기사의 카테고리는 언론사의 분류를 따릅니다.
기사가 속한 카테고리는 언론사가 분류합니다.
언론사는 한 기사를 두 개 이상의 카테고리로 분류할 수 있습니다.
언론사는 한 기사를 두 개 이상의 카테고리로 분류할 수 있습니다.
