이슈뉴스
-
인하대병원, 격리 중환자실 증설···"감염·중증 치료 역량 강화"
인하대병원은 최근 격리 중환자실 13병상을 증설하고 가동하면서 원내 1인 음압병실 및 격리 중환자실의 총 병상 수가 36병상으- 2025.12.03 18:37
- 서울경제
-
HPV 백신 男 접종도 지원···질병청 내년 예산 1조3359억 원
국가 공중보건위기 상황 대응 차원에서 수도권과 호남권에 감염병 전문병원을 구축하기 위한 예산이 대폭 늘었다. 그간 여성으로 한- 2025.12.03 18:19
- 서울경제
-
“진료를 놀이하듯”…강압 대신 ‘인도적 훈련’ 받는 반려동물
지난 1일 서울 종로구의 한 노령동물 전문병원. 반려견 ‘바벨’(12살)은 검진에 앞서 스스로 체중계에 올라가, 익숙한 듯 체- 2025.12.03 18:08
- 한겨레
-
李 "특검 끝나도 이대로 덮긴 어렵다"···'내란재판부' 설치·추가 수사 힘실어
이재명 대통령이 3일 “내란 특별검사의 (수사가) 끝나더라도 이 상태로 덮고 넘어가기는 어렵다”고 밝혔다. 사실상 여당이 추진- 2025.12.03 17:44
- 서울경제
-
질병청 내년 예산 1조3359억…독감·팬데믹 대응 강화
권역 감염병 전문병원 추진 바이오 빅데이터 구축 증액 [더팩트ㅣ이준영 기자] 질병관리청은 2026년도 예산이 국회 의결을 거쳐- 2025.12.03 17:08
- 더팩트
-
인하대병원, 격리 중환자실 13병상 증설…미래 의료 안전망 구축
1인 음압병실 등 총 36병상 확보…감염·중증 치료 역량 강화 [더팩트ㅣ인천= 김재경 기자] 인하대병원이 격리 중환자실을 증설- 2025.12.03 17:02
- 더팩트
-
김재연 경상국립대 교수, 식물 정밀 유전자 삽입 기술 ‘네이처 커뮤니케이션즈’에 논문 게재
경상국립대학교(GNU)는 생명과학부‧식물생명공학연구소 김재연 교수((주)눌라바이오 대표) 연구팀이 작물 유전자 교정의 차세대- 2025.12.03 16:56
- 세계일보
-
경북도, 푸드테크 연구지원센터 구축 공모 3년 연속 선정
경북 구미시 선산읍 일원에 스마트제조 푸드테크 연구지원센터가 들어선다. 경북도는 농림축산식품부가 추진한 ‘2026년 푸드테크- 2025.12.03 16:43
- 아주경제
-
‘산타 모자·촬영 부스 소품’ 돌려쓰면 탈모 온다?…전문가 견해는
모자 사용이 잦은 겨울이 다가온 가운데, 하나의 모자를 여러 사람이 함께 쓸경우 두피 백선을 옮길 수 있다는 해외 전문가의 주- 2025.12.03 16:17
- 동아일보
-
"정원치유, 신체·심리 회복에 효과" 산림청, 사회약자 조사
산림청은 지난 9월부터 3개월간 사회적약자를 대상으로 정원 치유 프로그램을 운영한 결과 신체·심리적 회복 효과가 있는 것으로- 2025.12.03 16:17
- 연합뉴스TV
-
충북도, 내년 2월까지 '한랭질환 응급실 감시체계' 가동
(청주=연합뉴스) 전창해 기자 = 충북도는 이번 겨울 한파에 대비해 내년 2월 28일까지 도내 20개 의료기관이 함께 하는 '- 2025.12.03 16:10
- 연합뉴스
-
인하대병원, 감염·중증 치료 역량 높이기 위한 격리 중환자실 증설
인하대병원이 격리 중환자실을 증설하며 감염병 대응과 중증 환자 치료 역량을 한층 강화했다. 3일 인하대병원에 따르면 최근 격리- 2025.12.03 15:58
- 경향신문
-
고용노동부 내년 예산 확정…산재 예방·‘주 4.5일제’ 도입에 집중
고용노동부 내년도 예산은 이재명 정부 국정과제인 ‘노동 안전’과 ‘주 4.5일제’ 추진에 초점을 맞춰 편성됐다. 노동부는 20- 2025.12.03 15:55
- 경향신문
-
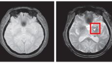
단순한 코골이 아닙니다…심한 수면무호흡증, 뇌 미세출혈 위험 2배 높여
심한 수면무호흡증이 있는 사람은 없는 사람에 비해 뇌 미세출혈이 발생할 위험이 2배 넘게 높다는 연구 결과가 나왔다. 수면무호- 2025.12.03 15:29
- 중앙일보
-
대한당뇨병학회, "당뇨병도 등급·단계로 나눠야"
[이데일리 이순용 기자] 당뇨병의 중증도를 객관적으로 평가할 수 있는 기준이 처음 마련됐다. 대한당뇨병학회(이사장 차봉수, 이- 2025.12.03 15:22
- 이데일리
-
'국정과제' 지필공·통합돌봄 예산 확대…AI 유행 대비 백신도↑
국회 문턱을 넘은 2026년도 보건복지 예산안에선 '지필공'(지역·필수·공공 의료), 통합돌봄 등 이재명 정부 국정과제 관련- 2025.12.03 15:17
- 중앙일보
-
"아이들에게 따뜻한 밥을 먹이고 싶습니다"
'대전 선화초 학부모 비상대책위원회 및 학교운영위원회'가 3일 오전 10시 30분 대전시의회 1층 로비에서 기자회견을 열고 "- 2025.12.03 15:14
- 아시아경제
-
질병청 내년 예산 1조3359억원 확정… 올해보다 5.5%↑
질병관리청은 2일 국회 본회의 의결을 통해 2026년도 예산이 1조3359억원으로 최종 확정됐다고 3일 밝혔다. 질병청의 내년- 2025.12.03 15:03
- 아시아경제
-
CDMO 규제지원법 본회의 통과…바이오 수출 신뢰도 향상
식품의약품안전처는 '바이오의약품 위탁개발생산 기업 등의 규제지원에 관한 특별법' 등 8개 법률의 제·개정안이 2일 국회 본회의- 2025.12.03 14:50
- 아시아경제
-
광주시, 2026년 국비 3조9497억 확보…역대 최대 규모
광주시가 내년도 국비로 역대 최대 규모인 3조9497억원을 확보했다. 5·18 구묘역 민주공원 조성 사업 등 ‘빛의 혁명’의- 2025.12.03 14:41
- 서울신문
-
경기관광공사, 술 찾아 떠나는 초겨울 여행지 6곳 추천
경기관광공사가 12월 가볼 만한 여행지로 경기도 내 양조장과 술 체험장 6곳을 추천했다. 양조장은 최근 몇 년 사이 지역 주민- 2025.12.03 14:32
- 서울신문
-
서초구, 올해 보건·건강 분야 12개 평가서 수상
(서울=연합뉴스) 정준영 기자 = 서초구(구청장 전성수)는 올해 대외기관의 보건·건강 분야 12개 평가에서 수상하거나 우수기관- 2025.12.03 14:31
- 연합뉴스
-
인천시, 김장철 맞아 농·축산물 불법 유통 6개소 적발
인천광역시(시장 유정복)는 지난 11월 3일부터 28일까지 관내 김치 제조업소와 축산물 판매업체를 대상으로 '김장철 농·축산물- 2025.12.03 14:10
- 메트로신문사
-
질병청 예산 1조3359억 확정…조류AI·두창 백신 증액
[이데일리 안치영 기자] 질병관리청 내년도 예산이 1조 3359억 원으로 확정됐다. 전년보다 698억 원 늘었다. 신종감염병과- 2025.12.03 14:01
- 이데일리
-
질병청 내년 예산 1조3359억원…조류인플루엔자 백신 구매비 증액
내년, HPV 예방접종 12세 남아에 확대…청소년 인플루엔자 백신은 14세 이하로 확대 질병관리청이 지난 2일 국회 의결을 거- 2025.12.03 13:57
- 머니투데이
